ಆರೋಗ್ಯವಾಗಿರಲು ವಿಟಮಿನ್ ಸಿ ಅತ್ಯಗತ್ಯ.ದೇಹದಲ್ಲಿ ಕೊರತೆಯಾದ ತಕ್ಷಣ, ಅನೇಕ ರೋಗಗಳು ದೇಹವನ್ನು ಆಕ್ರಮಿಸಲು ಪ್ರಾರಂಭಿಸುತ್ತವೆ ಮತ್ತು ಅದರ ಪರಿಣಾಮವು ಚರ್ಮದಿಂದ ಕೂದಲಿನವರೆಗೆ ಕಂಡುಬರುತ್ತದೆ. ನಮ್ಮ ದೇಹವು ಅನೇಕ ಅಂಶಗಳ ಮಿಶ್ರಣವಾಗಿದೆ. ನಂತರ ದೇಹದಲ್ಲಿ ಕೆಲವು ವಿಟಮಿನ್ ಕೊರತೆಯಿಂದ ನಾವು ಪ್ರತಿದಿನ ಹಲವಾರು ಸಮಸ್ಯೆಗಳನ್ನು ಎದುರಿಸುತ್ತೇವೆ. ಹಾಗಾದರೆ ವಿಟಮಿನ್ ಸಿ ಕೊರತೆಯಿದ್ದರೆ ಆಗ ಕಾಣಿಸಿಕೊಳ್ಳುವ ಲಕ್ಷಣಗಳನ್ನು ತಿಳಿದುಕೊಳ್ಳಿ.
ವಿಟಮಿನ್ ಸಿ ಕೊರತೆಯ ಸಾಮಾನ್ಯ ಲಕ್ಷಣಗಳು:
ಗಾಯಗಳು ಬೇಗ ವಾಸಿಯಾಗುವುದಿಲ್ಲ:
ವಿಟಮಿನ್ ಸಿ ಕೊರತೆ ಇರುವವರಿಗೆ ಗಾಯಗಳು ಬೇಗ ವಾಸಿಯಾಗುವುದಿಲ್ಲ ಎಂದು ಅಧ್ಯಯನಗಳು ಹೇಳುತ್ತವೆ.ವಿಟಮಿನ್ ಸಿ ಕೊರತೆಯಿಂದಾಗಿ ಅಕಾಲಿಕವಾಗಿ ವಯಸ್ಸಾಗಬಹುದು. ಮುಖ ಮತ್ತು ಕೈಗಳಲ್ಲಿ ಸುಕ್ಕುಗಳು ಕಾಣಿಸಿಕೊಳ್ಳಬಹುದು. ಹಾಗಿದ್ದಲ್ಲಿ, ತಕ್ಷಣ ನಿಮ್ಮ ಆಹಾರದಲ್ಲಿ ಕಿವಿ ಮತ್ತು ಕಿತ್ತಳೆಯಂತಹ ಸಿಟ್ರಸ್ ಹಣ್ಣುಗಳನ್ನು ಸೇರಿಸಿ.
ದಣಿವು:
ನೀವು ಆಗಾಗ್ಗೆ ದಣಿದಿದ್ದರೆ, ಇದು ವಿಟಮಿನ್ ಸಿ ಕೊರತೆಯ ಸಂಕೇತವೂ ಆಗಿರಬಹುದು, ಆದಾಗ್ಯೂ, ಆಯಾಸವು ಅನೇಕ ಕಾರಣಗಳನ್ನು ಹೊಂದಿರಬಹುದು. ನೀವು ಯಾವಾಗಲೂ ದಣಿದಿದ್ದರೆ, ನಿಮಗೆ ಹೆಚ್ಚಿನ ವಿಟಮಿನ್ ಸಿ ಅಗತ್ಯವಿದೆಯೇ ಎಂದು ನೋಡಲು ವೈದ್ಯರನ್ನು ಭೇಟಿ ಮಾಡಿ.
ಗಾಯದ ಗುರುತುಗಳು:
ನೀವು ಸಾಮಾನ್ಯಕ್ಕಿಂತ ಹೆಚ್ಚು ಮೂಗೇಟುಗಳನ್ನು ಗಮನಿಸಿದರೆ, ಇದು ವಿಟಮಿನ್ ಸಿ ಕೊರತೆಯಿಂದಾಗಿರಬಹುದು. ವಿಟಮಿನ್ ಸಿ ರಕ್ತ ಹೆಪ್ಪುಗಟ್ಟುವಿಕೆಯನ್ನು ಉತ್ತೇಜಿಸುತ್ತದೆ ಮತ್ತು ದೇಹದ ಅಂಗಾಂಶಗಳನ್ನು ಬಲಪಡಿಸುತ್ತದೆ. ನಿಮ್ಮ ಸಿಸ್ಟಂನಲ್ಲಿ ನೀವು ಸಾಕಷ್ಟು ಹೊಂದಿಲ್ಲದಿದ್ದರೆ, ಅದು ತ್ವರಿತವಾಗಿ ಗಾಯಕ್ಕೆ ಕಾರಣವಾಗಬಹುದು. ಆದ್ದರಿಂದ, ಸಣ್ಣ ಗಾಯದ ನಂತರ ನೀವು ಅಸಹ್ಯವಾದ ಕಪ್ಪು-ನೀಲಿ ಗುರುತುಗಳನ್ನು ಪಡೆದರೆ, ನಿಮ್ಮ ವಿಟಮಿನ್ ಸಿ ಸೇವನೆಯನ್ನು ನೀವು ಹೆಚ್ಚಿಸಬೇಕು.
ಚರ್ಮಕ್ಕೆ ಸಂಬಂಧಿಸಿದ ಸಮಸ್ಯೆಗಳು:
ನೀವು ಸಾಕಷ್ಟು ವಿಟಮಿನ್ ಸಿ ಪಡೆಯದಿದ್ದರೆ, ನಿಮ್ಮ ಚರ್ಮದ ಮೇಲೆ ಅದರ ಪರಿಣಾಮಗಳನ್ನು ನೀವು ನೋಡಲು ಪ್ರಾರಂಭಿಸುತ್ತೀರಿ.ವಿಟಮಿನ್ ಸಿ ಕೊರತೆಯು ಚರ್ಮವು ಕೆಂಪು ಅಥವಾ ತೆಳುವಾಗಲು ಕಾರಣವಾಗುತ್ತದೆ. ಬಾಯಿಯ ಮೂಲೆಗಳಲ್ಲಿ ಶುಷ್ಕತೆ ಮತ್ತು ಬಿರುಕುಗಳು ಕಾಣಿಸಿಕೊಳ್ಳುತ್ತವೆ.
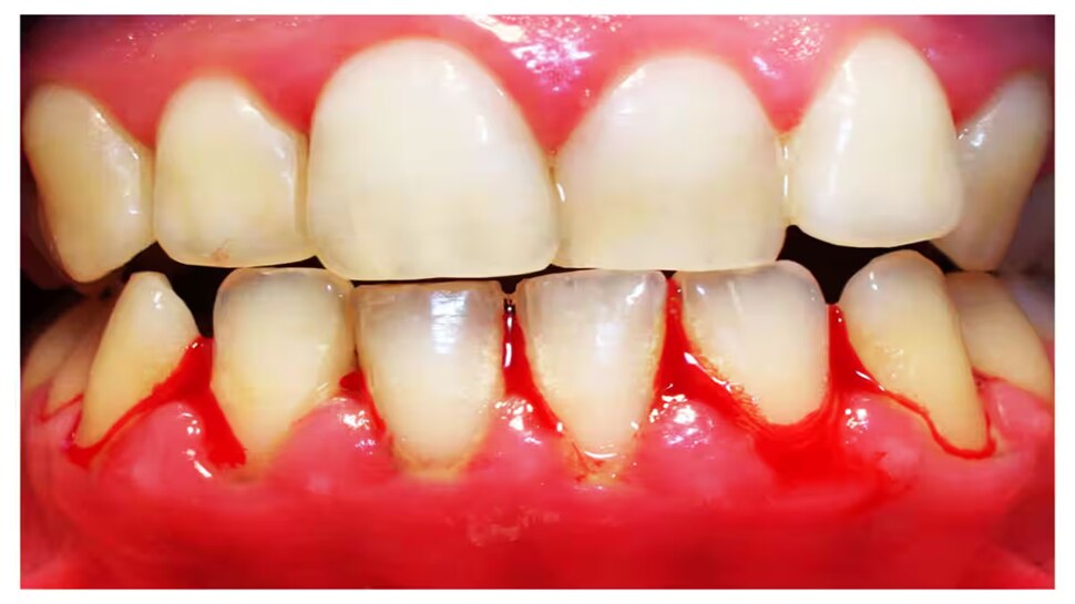
ಒಸಡುಗಳ ರಕ್ತಸ್ರಾವ:
ವಿಟಮಿನ್ ಸಿ ಒಂದು ಉತ್ಕರ್ಷಣ ನಿರೋಧಕವಾಗಿದ್ದು ಅದು ಒಸಡು ಕಾಯಿಲೆಯನ್ನು ತಡೆಯಲು ಸಹಾಯ ಮಾಡುತ್ತದೆ.ಕಡಿಮೆ ಮಟ್ಟದ ವಿಟಮಿನ್ ಸಿ ಹೊಂದಿರುವ ರೋಗಿಗಳು ಒಸಡುಗಳಲ್ಲಿ ರಕ್ತಸ್ರಾವವಾಗುವ ಸಾಧ್ಯತೆ 1.16 ಪಟ್ಟು ಹೆಚ್ಚು ಎಂದು ಒಂದು ಅಧ್ಯಯನವು ಕಂಡುಹಿಡಿದಿದೆ. ಒಸಡುಗಳಲ್ಲಿ ರಕ್ತಸ್ರಾವವಾಗುವುದು ಸ್ಕರ್ವಿ, ವಿಟಮಿನ್ ಸಿ ಕೊರತೆಯ ಕಾಯಿಲೆಯ ಸಂಕೇತವೂ ಆಗಿರಬಹುದು. ನಿಮ್ಮ ಒಸಡುಗಳಲ್ಲಿ ರಕ್ತಸ್ರಾವವಾಗುತ್ತಿದ್ದರೆ, ವಿಟಮಿನ್ ಸಿ ಇರುವ ಆಹಾರವನ್ನು ಸೇವಿಸಿ ಮತ್ತು ವಸಡು ರೋಗವನ್ನು ತಡೆಗಟ್ಟಲು ನಿಮ್ಮ ದಂತವೈದ್ಯರನ್ನು ಸಂಪರ್ಕಿಸಿ.
ಇದನ್ನೂ ಓದಿ: ಅಬೈಟೆಡ್ ಚಾರ್ಜ್ ಶೀಟ್ ಸಲ್ಲಿಸಲು ಪೊಲೀಸರ ನಿರ್ಧಾರ
ಕೀಲು ನೋವು:
ಕೀಲು ನೋವು ವಿಟಮಿನ್ ಸಿ ಕೊರತೆಯ ಲಕ್ಷಣಗಳಲ್ಲಿ ಒಂದಾಗಿರಬಹುದು. ವಿಟಮಿನ್ ಸಿ ಮೊಣಕಾಲು ಮತ್ತು ಸೊಂಟದಲ್ಲಿ ಹೆಚ್ಚು ನೋವನ್ನು ಉಂಟುಮಾಡುತ್ತದೆ.ವಿಟಮಿನ್ ಸಿ ಆರೋಗ್ಯಕರ ಕಾಲಜನ್ ರಚನೆಯನ್ನು ಉತ್ತೇಜಿಸುತ್ತದೆ, ಇದು ಕೀಲುಗಳನ್ನು ಬಲಪಡಿಸಲು ಸಹಾಯ ಮಾಡುತ್ತದೆ. ನೀವು ಸಾಕಷ್ಟು ವಿಟಮಿನ್ ಸಿ ಪಡೆಯದಿದ್ದರೆ, ನಿಮ್ಮ ಕೀಲುಗಳಲ್ಲಿ ನೀವು ನೋವು ಅನುಭವಿಸಬಹುದು.
ಸೂಚನೆ: ಇಲ್ಲಿ ನೀಡಲಾದ ಮಾಹಿತಿಯು ಸಾಮಾನ್ಯ ಜ್ಞಾನವನ್ನು ಆಧರಿಸಿದೆ. ಜೀ ಕನ್ನಡ ನ್ಯೂಸ್ ಇದನ್ನು ಖಚಿತಪಡಿಸುವುದಿಲ್ಲ.
ಕನ್ನಡ ಭಾಷೆಯಲ್ಲಿ ಇತ್ತೀಚಿನ ಕರ್ನಾಟಕ, ದೇಶ, ವಿದೇಶ, ಮನರಂಜನೆ, ಶಿಕ್ಷಣ, ಉದ್ಯೋಗ, ಆರೋಗ್ಯ, ಜೀವನಶೈಲಿ, ಆಧ್ಯಾತ್ಮ, ಕ್ರೀಡೆ, ಕ್ರೈಂ, ವೈರಲ್, ವ್ಯಾಪಾರ, ತಂತ್ರಜ್ಞಾನ ಸುದ್ದಿಗಳನ್ನು ಓದಲು ಈಗಲೇ ನಮ್ಮ ಜೀ ಕನ್ನಡ ನ್ಯೂಸ್ ಮೊಬೈಲ್ ಅಪ್ಲಿಕೇಶನ್ ಡೌನ್ಲೋಡ್ ಮಾಡಿ...
Android Link - https://bit.ly/3AClgDd
Apple Link - https://apple.co/3wPoNgr
ನಮ್ಮ ಸೋಶಿಯಲ್ ಮೀಡಿಯಾ ಪುಟಗಳಿಗೆ ಸಬ್ ಸ್ಕ್ರೈಬ್ ಆಗಲು
Twitter Link - https://bit.ly/3n6d2R8
Facebook Link - https://bit.ly/3Hhqmcj
Youtube Link - https://www.youtube.com/live/RNn4I7iIaYE?si=3G4W5dh0oCdFnu-T
Instagram Link - https://bit.ly/3LyfY2l
Sharechat Link - https://bit.ly/3LCjokI
Threads Link- https://www.threads.net/@zeekannadanews
WhatsApp Channel- bit.ly/46lENGm ಲಿಂಕ್ ಗಳ ಮೇಲೆ ಕ್ಲಿಕ್ ಮಾಡಿ









