K Vikram

Stories by K Vikram

 மனோஜ்குமார் மஞ்சு - வருண் இணையும் “வாட் த ஃபிஷ்”
Manojkumar
மனோஜ்குமார் மஞ்சு - வருண் இணையும் “வாட் த ஃபிஷ்”
6ix Cinemas தயாரிப்பில் அறிமுக இயக்குனர் வருண் கதை திரைக்கதையில் உருவாகும், இப்படத்திற்கு வித்தியாசமாக  'வாட் தி ஃபிஷ்' 'WHAT THE FISH' என பெயரிடப்பட்டுள்ளது.
Jan 20, 2023, 03:34 PM IST IST
தொகுப்பாளினி புத்தகத்தை வெளியிட்ட கார்த்தி
karthi
தொகுப்பாளினி புத்தகத்தை வெளியிட்ட கார்த்தி
பன்முக ஊடக ஆளுமையான ரம்யா, ஊடகங்கள் மற்றும் ஆரோக்கிய உடற்பயிற்சி அரங்கில் தனது பாராட்டுக்குரிய பயணத்திற்காக மில்லியன் கணக்கானவர்களின் பாராட்டுகளைப் பெற்றுள்ளார்.
Jan 20, 2023, 03:23 PM IST IST
இந்த ஆட்சியில் புதிய வரலாறு -  மு.க. ஸ்டாலின் பெருமிதம்
MK Stalin
இந்த ஆட்சியில் புதிய வரலாறு - மு.க. ஸ்டாலின் பெருமிதம்
தமிழ்நாடு சட்டப்பேரவையில் ஆளுநர் உரை மீதான நன்றி தெரிவிக்கும் தீர்மானத்தின் மீது பல்வேறு சட்டமன்ற உறுப்பினர்கள் பேசினர்.
Jan 12, 2023, 05:32 PM IST IST
Jigarthanda 2: தீவிரமடையும் ஜிகர்தண்டா 2 ஷூட்டிங்
Jigarthanda
Jigarthanda 2: தீவிரமடையும் ஜிகர்தண்டா 2 ஷூட்டிங்
பீட்சா படம் மூலம் இயக்குநராக அறிமுகமாகி கவனம் ஈர்த்தவர் கார்த்திக் சுப்பாராஜ்.
Jan 12, 2023, 04:30 PM IST IST
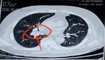
நுரையீரலில் சிக்கிய சோள துண்டுகள் - வெற்றிகரமாக வெளியே எடுத்த ரேலா மருத்துவமனை
Corn Flakes
நுரையீரலில் சிக்கிய சோள துண்டுகள் - வெற்றிகரமாக வெளியே எடுத்த ரேலா மருத்துவமனை
சென்னை மகிந்திரா வேர்ல்டு சிட்டியைச் சேர்ந்த 55 வயதான நபர் ஒருவர் சோளத்தை படுத்துக் கொண்டே சாப்பிட்டதால் அது அவரது மூச்சுக் குழாய் வழியாக சென்று நுரையீரலில் சிக்கிக் கொண்டது.
Jan 12, 2023, 04:19 PM IST IST
நொய்யல் ஆற்றை மீட்கும்வரை ஓய்வு கிடையாது - அன்புமணி ராமதாஸ்
Anbumani Ramadoss
நொய்யல் ஆற்றை மீட்கும்வரை ஓய்வு கிடையாது - அன்புமணி ராமதாஸ்
நொய்யல் ஆற்றை மீட்டெடுப்போம் என்ற தலைப்பில் பசுமைத்தாயகம் மற்றும் கொங்கு பகுதியில் உள்ள சமூகத்தொண்டு அமைப்புகள் சார்பில் கோவையில் கூட்டம் நடந்தது.
Jan 12, 2023, 03:02 PM IST IST
நீரில் மலம் கலந்த விவகாரம் - வேங்கை வயலில் சமூக நீதி கண்காணிப்பு குழு ஆய்வு
Vengai Vayal
நீரில் மலம் கலந்த விவகாரம் - வேங்கை வயலில் சமூக நீதி கண்காணிப்பு குழு ஆய்வு
இது தொடர்பாக அரசு வெளியிட்டுள்ள அறிக்கையில், "புதுக்கோட்டை மாவட்டம், குளத்தூர் தாலுகா, தொடையூர் வட்டம், வேங்கைவயல் கிராமத்தில், ஆதிதிராவிடர் குடியிருப்பு பகுதியில் அமைந்துள்ள நீர்த்தேக்கத் தொட்டியி
Jan 10, 2023, 11:10 PM IST IST
பயிர் காப்பீட்டு திட்டத்தின் கீழ் விவசாயிகளுக்கு இழப்பீடு - முதலமைச்சர் ஸ்டாலின் தொடக்கி வைப்பு
MK Stalin
பயிர் காப்பீட்டு திட்டத்தின் கீழ் விவசாயிகளுக்கு இழப்பீடு - முதலமைச்சர் ஸ்டாலின் தொடக்கி வைப்பு
பயிர் காப்பீட்டுத் திட்டம் கடந்த 2016-2017ஆம் ஆண்டு முதல் தமிழ்நாட்டில் சென்னை நீங்கலாக அனைத்து மாவட்டங்களிலும் செயல்படுத்தப்பட்டு வருகிறது.
Jan 10, 2023, 08:50 PM IST IST
வாரிசு படக்குழு மீது விஜய் கோபம்?... பரபரப்பு தகவல்
Varisu
வாரிசு படக்குழு மீது விஜய் கோபம்?... பரபரப்பு தகவல்
வம்சி இயக்கத்தில் விஜய் நடித்திருக்கும் படம் வாரிசு.தில்ராஜு தயாரிப்பில் உருவாகியிருக்கும் வாரிசுக்கு தமன் இசையமைத்திருக்கிறார்.
Jan 10, 2023, 08:20 PM IST IST

Trending News